brown orthodontics

Smile Gallery

 

Braces Before and After

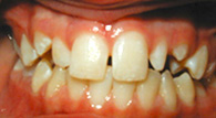
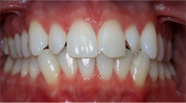
before

Before

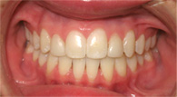
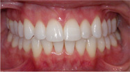
after

After

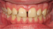
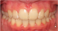
before

Before

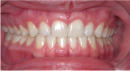
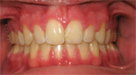
after

After

before

Before

after

After

 

Invisalign Before and After

before

Before

after

After

before

Before

after

After

Our Services

brown-services-2
brown-services-3
brown-services-4